Research at KaroKidney
KaroKidney is a collaboration between researchers from Karolinska Institutet and Karolinska University Hospital. Here you can read about our research projects.

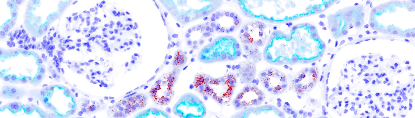
Photo: KaroKidney
Research Projects
What is good for the planet is also good for your health

Food as Medicine - Research Group

Pediatric Nephrology - Research Group

Renal Biopsy Project - Research Group Wernerson
We focus on research in renal medicine, chronic kidney disease and kidney failure, its complications such as cardiovascular disease, metabolic alterations, malnutrition and inflammation, and its treatment including dialysis therapies, especially peritoneal dialysis.

Renal Medicine at Baxter Novum - Research Group

Vascular Progeria - Research Group